티스토리 뷰
목차
‘김민재 중족골 골절’이라는 키워드가 갑자기 떠오른 이유, 바로 바이에른 뮌헨의 새로운 수비수 이토 히로키의 부상 소식 때문입니다.

올여름 김민재와 같은 팀 유니폼을 입게 된 이토가 프리시즌 친선경기 도중 중족골 골절상을 입고 쓰러졌다는 소식이 전해졌습니다.
경기 시작 21분 만에 발 통증을 호소한 그는 결국 혼자 걷지 못한 채 의료진의 부축을 받아 퇴장했으며, 정밀 검진 결과 중족골 골절상 진단을 받았습니다. 회복에는 최소 한 달 이상이 소요될 것으로 보이며, 복귀는 9월 이후가 유력하다는 보도도 있습니다.
이토는 김민재와 함께 바이에른 뮌헨의 수비라인을 책임질 핵심 자원으로 영입된 선수였습니다.
센터백과 레프트백을 모두 소화 가능한 멀티 수비수로서 큰 기대를 모았지만, 이번 부상으로 시즌 초반부터 전열에서 이탈하게 된 것입니다.
김민재 입장에서도 아쉬운 소식일 수밖에 없습니다.

이토는 김민재와 같은 동아시아 출신으로, 현지 언론에 따르면 김민재가 훈련과 생활 적응 면에서 많은 도움을 주며 이토의 빠른 적응을 이끌었다고 전해졌기 때문입니다.
이 소식이 전해지면서 일부 팬들 사이에서는 ‘김민재 중족골 골절’이라는 검색어도 함께 회자되고 있습니다.
물론 김민재 본인의 부상은 아니지만, 중족골 골절이라는 부상 자체가 얼마나 치명적일 수 있는지에 대한 관심이 높아진 것이죠.
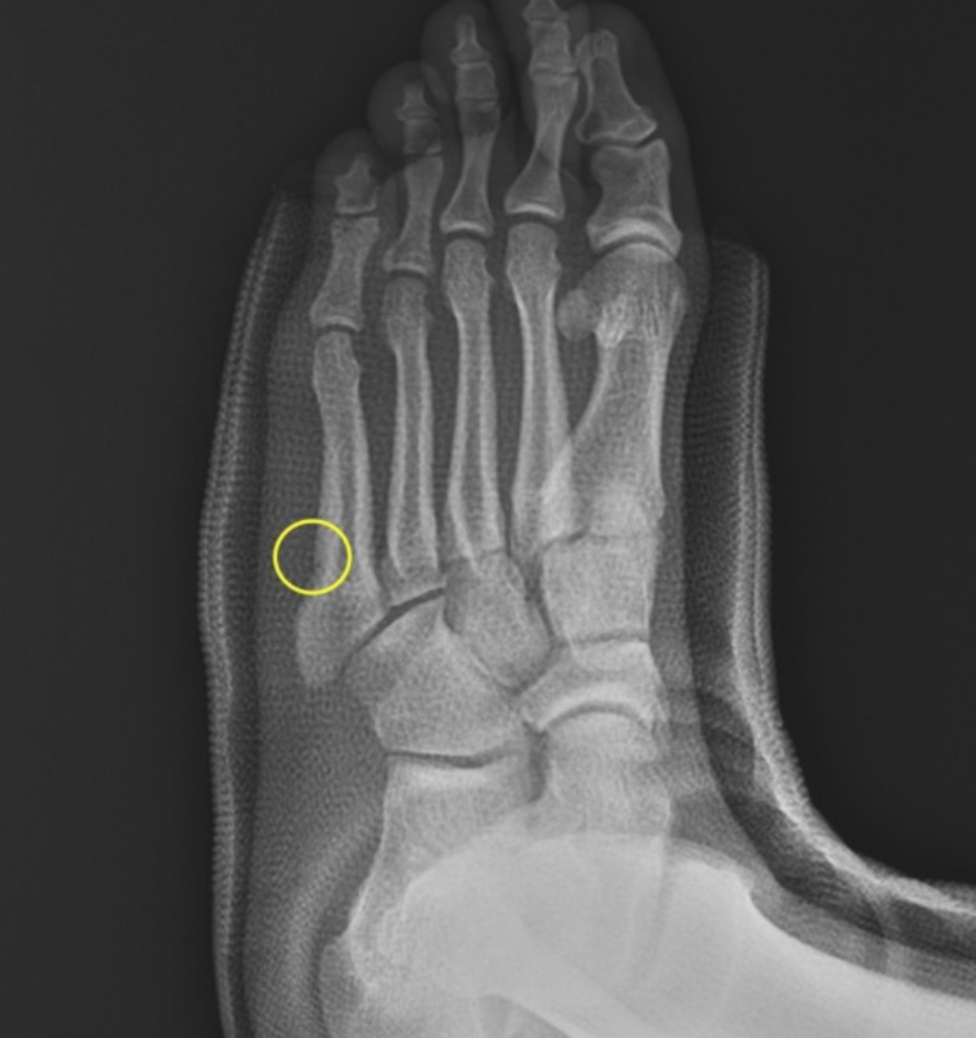
중족골 골절, 발 통증의 대표적 ‘위험 부상’
‘김민재 중족골 골절’이라는 키워드를 통해 관심이 높아진 중족골 부상, 얼마나 위험할까요?
중족골(Metatarsal)은 발등에서 발바닥까지 뻗어 있는 뼈로, 달릴 때 지면과 접촉하면서 충격을 받는 부위입니다.

이 부위에 골절이 생기면 단순히 ‘발이 아픈’ 수준을 넘어서 걷기조차 힘들고, 장기적인 후유증으로 이어질 수도 있습니다.
중족골 골절은 격한 충돌보다도 반복적인 피로, 점프 착지 미스, 신발 불균형 등으로 쉽게 발생합니다.
선수 입장에선 회복 기간 중 체력 저하와 감각 저하가 함께 올 수 있어 복귀 후 경기력 유지도 어려운 부상 중 하나입니다.
특히 수술이 필요한 경우, 회복은 더욱 길어지고 통증이 반복될 위험도 있습니다.
이토의 경우 수술 여부는 밝혀지지 않았지만, 최소 한 달 이상의 회복 기간이 불가피할 것으로 보입니다.
‘김민재 중족골 골절’이 실제 이토에게 일어난 일이지만, 김민재를 걱정하는 팬들의 반응 또한 많습니다.
이는 결국 축구 팬들이 얼마나 부상에 민감한지, 그리고 한 명의 수비수가 얼마나 팀 전력에 영향을 주는지를 보여주는 사례이기도 합니다.
정리하며
바이에른 뮌헨은 시즌 개막을 앞두고 예상치 못한 수비 라인 공백이라는 난제를 안게 됐습니다.
이토의 빠른 쾌유를 바라는 동시에, 김민재 중족골 골절같은 키워드가 실제 사건이 아닌 불안감에서 비롯된 오해로 남길 바라는 마음입니다.
부상이 언제든 찾아올 수 있는 상황 속에서, 김민재를 포함한 모든 선수들이 건강하게 시즌을 소화하길 기대해봅니다.
“발 한쪽이 무너지면, 팀 전체가 흔들릴 수 있다. 그래서 중족골은 작지만 강한 중심이다.”